Ukázky naší práce

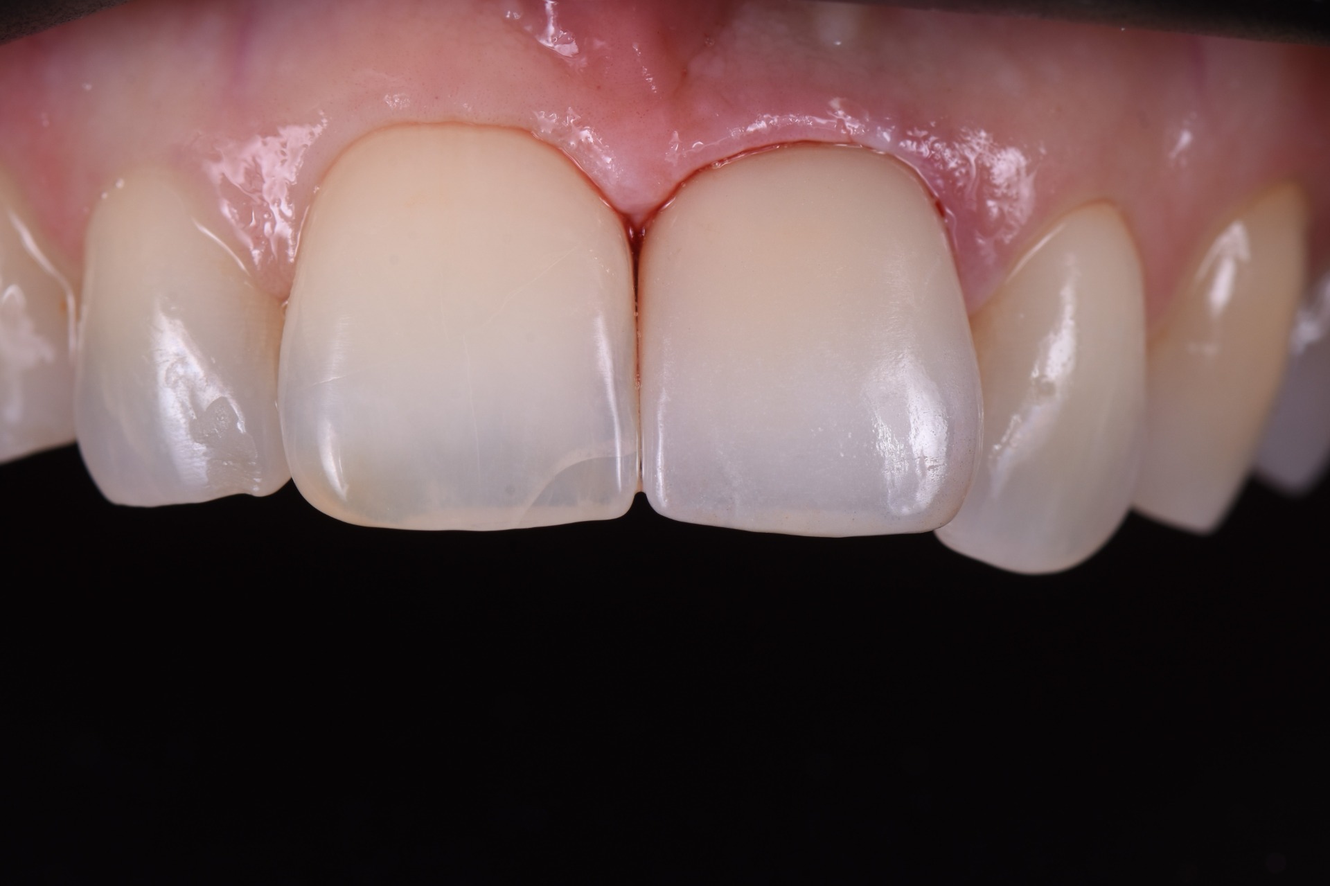
Keramická vrstvená korunka (jednička vpravo)
laboratoř Forejtek Dental Lab
laboratoř Forejtek Dental Lab

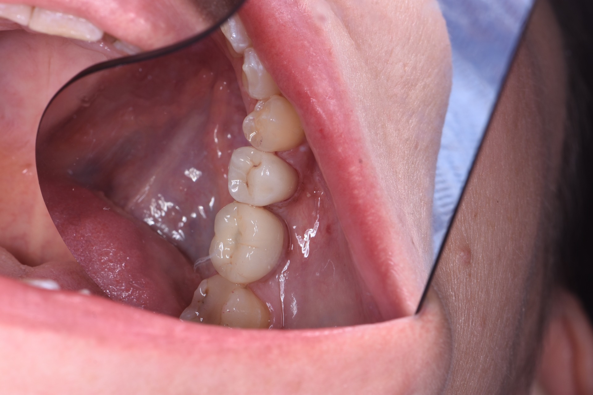
Fotokompozitní výplně (na zubu 47, 46, 45)

Fotokompozitní výplň

Keramická korunka (zirkon) - zub 35